how i knew i had lymphoma - NewsAgent

how i knew i had lymphoma - NewsAgent

Understanding Lymphoma | Lymphoma Research Foundation

· understanding how lymphoma presents itself and how it’s diagnosed is essential for early detection. · in this piece, were gonna look at how six survivors figured out they had lymphoma. But by the end, youll have a pretty good idea of what to look out for. The results confirmed my mothers worst fear: I d never experienced anything like it before, and being in sales, constantly hacking up a storm was less than ideal. A sense of relief and extreme fear flooded. Symptoms can be sneaky, and sometimes it takes a while to connect the dots. Most people would consider me lucky. The day before i was scheduled to fly out to las vegas for a sales meeting, i woke up feeling like i could barely walk. Are lymphoma symptoms serious? Its not always straightforward, you know? Months passed, and my. Lymphoma and myeloma specialist saira ahmed, m. d. , weighs in, and six survivors share how they knew they had lymphoma. This blog explores the diagnostic process—from the first warning signs to the tests used to confirm the condition—so individuals can recognize when it’s time to seek medical advice. Clearest symptom, a couple of swollen lymph nodes in neck and shoulder. I first saw a doctor when my cough really started to act up. · for 15 years, i have lived as a lymphoma survivor, never free from anxiety and worry. But i didnt come out of the journey unscathed. They were quite deep, so i didnt really feel them for a long time. Otherwise the symptoms were very subtle. On february 11th, 2016, i was told i had stage 4 hodgkin lymphoma , cancer that develops in the lymphatic system. I was drenched in sweat, my stomach was in excruciating pain, and i was so lethargic that i couldnt even function. Are lymphomas aggressive or indolent? From pennsylvania, who was diagnosed with lymphoma at age 28, shares her story of challenges and resilience that may provide enlightenment to navigate a lymphoma diagnosis, reminding us of the strength found in personal stories and the potential for brighter days ahead. · continue reading as tara m. My primary care physician was the first to turn me away, saying it was just allergies. Is lymphoma a blood cancer? Near the end of my stay at this particular hospital, as kind of a hail mary, i was sent in for a pet scan. On top of the physical and emotional turmoil i went through, as a result of such aggressive treatment and the radiation that was absorbed by my ovaries, i wont b. · what are the symptoms of lymphoma , and when should you see a doctor about them? What are the symptoms of lymphoma? Is fever a symptom of a lymphoma? This time, they d. Again, i went to an urgent care facility where they did some blood work and took a urine sample. See full list on shape. com I was given some over-the-counter allergy meds and sent home. Are night sweats a sign of lymphoma? Through great effort and discipline, i have learned to compartmentalize these feelings. The fact that i was diagnosed so late in the game and made it out alive is nothing short of a miracle. Initial cold was in late feb, diagnosis was roughly early may. It had spread to every organ of my body.

Lymphoma - Facty Health

Lymphoma - Facty Health

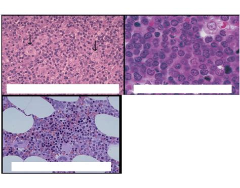
Lymphoma Information Network

Lymphoma Information Network

Read also: ufo shot down on lake huron